Pet Dental Care
Prevent dental disease and teeth loss.
Dental care is vital to the overall health of any pet. Dental disease can lead to health issues with the heart, liver, and kidneys and has the potential to seep into your pet’s bloodstream. In fact, 80 percent of dogs and 70 percent of cats over three years of age suffer from some form of dental disease, making it the most common pet health issue among our pet population.
At Caldwell Pet Hospital, we offer dental services, including teeth cleaning, to help your cat or dog live a healthier life. Ask about our preventive dental care and other dental services at your next exam or call us at (559) 741-7000.
Learn more about our pet dental care services:
Preventive Dental Care
Routine dental care matters.
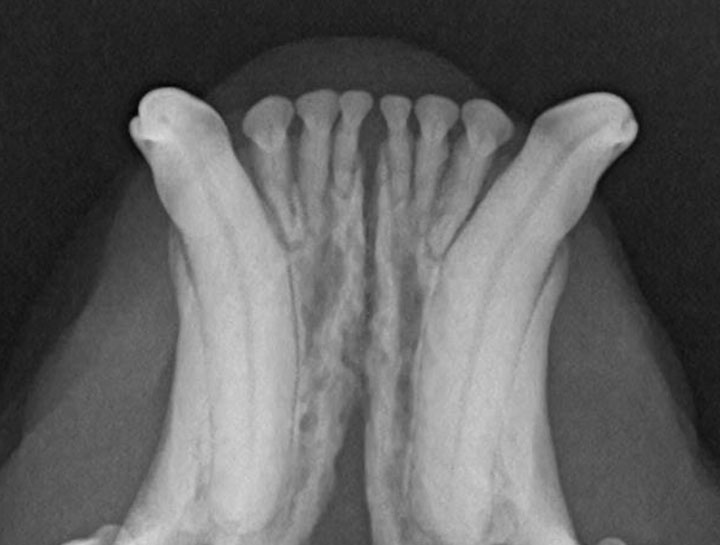
Digital Dental Radiology
Insight into underlying issues.

